
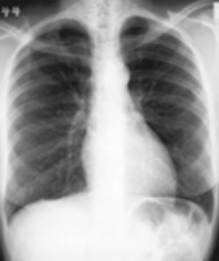
Dit is het meest uitgevoerde onderzoek op de dienst radiologie. Een thoraxfoto kan om veel redenen worden aangevraagd.
![]() |
Als routine onderzoek bij een screening vb.
arbeidsgeneeskunde, pre- en post operatief |
![]() |
Bij vermoeden van een longletsel |
![]() |
Bij kortademigheid |
![]() |
Als opvolging van het effect van een behandeling |
![]() |
Bij een trauma van de borstkas |
Er zijn in princiepe twee manieren om een thorax opname te maken:
![]() |
De
staande opname waar meestal een face en een profiel opname wordt
genomen |
![]() |
De
liggende opname bij een patiënt die niet kan staan, normaal enkel
face opname tenzij anders aangevraagd |
Misschien het meest gekende onderzoek op de radiologie. Namelijk de foto's van de beenderen.
De indicaties hiervoor kunnen sterk uiteenlopen.
![]() |
Trauma : het opsporen van fracturen, luxaties,... |
![]() |
Tumoren : zowel goedaardige als kwaadaardige tumoren
kunnen op de röntgenfoto's gezien worden |
![]() |
Botontkalking: Osteoporosis |
![]() |
Arthrose en arthritis |
![]() |
Opsporen van erfelijke botafwijkingen |
Voorbereiding:
![]() |
Over het algemeen is er geen specifieke voorbereiding
noodzakelijk |
![]() |
Wel is het belangrijk dat er geen contrast in de darmen
aanwezig is, bij opnames van wervels en bekken |
Nazorg:
![]() |
Geen specifieke nazorg in acht te nemen. |

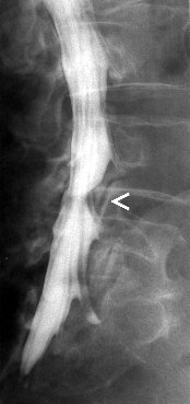
Myelografie is het in beeld brengen
van het ruggenmergkanaal door middel van een cotrasmiddel. Deze wordt
door middel van een punctie ingespoten in de duraal zak in de lage rug.
Er wordt dus in de rug geprikt zodat een naald door kan schuiven tussen
de wervels tot in het ruggenmergkanaal. Dit kan gebeuren onder
plaatselijke verdoving, maar dit is geen regel. Gesteld wordt dat er in
elk geval moet geprikt worden. Er kunnen opnames genomen worden ter
hoogte van de hals, borst of lage rug. Na de punctie worden er
conventionele opnames gemaakt waarna de patiënt naar de CT-scan
wordt gebracht om axiale beelden te maken in de regio waar zich
mogelijk problemen voordoen.
Het is echter zo dat deze onderzoek
steeds vaker vervangen wordt door een MRI vande rug, daar dit minder
invasief is, minder risicos inhoudt en beter verdragen wordt door de
patiënten.
Indicaties:
![]() |
Het opsporen van een degeneratieve tussenwervelschijf |
![]() |
Tumoraal proces tussen de wervels |
![]() |
Trama met fractuur of verplaatsing van een wervel |
![]() |
Post opperatieve problemen |
Voorbereiding:
![]() |
De patiënt hoeft niet nuchter te zijn, al wordt dit
in vele ziekenhuizen standaard wel zo gedaan. |
![]() |
Let in elk geval op voor contrast-allergie. |
![]() |
De patiënt wordt met zijnbed naar de radiologie
gebracht |
![]() |
Soms wordt er een oogfundusonderzoek gedaan, dit om
papilstuwing uit te sluiten wat een tegenindicatie voor voor lumbaal
pucties |
Nazorg:
![]() |
Verplichte bedrust van 24h, om de drukverschillen ten
gevolge
van de punctie te laten op lossen. |
![]() |
Aan te raden is om extra vocht op te nemen, drinken
bijvoorbeeld., of zo nodig een infuus. |
![]() |
Bij optreden van hoofdpijn, wordt de bedrust best
verlengd. |

![]() |
Letsels aan pezen en/of ligamenten van het gewricht |
![]() |
Letsels van het gewrichtskapsel |
![]() |
Ontwrichting |
![]() |
Bot of kraarbeenletsels |
![]() |
Gewrichtsmuizen (dit zijn kleine stukjes bot die los in
het gewricht voorkomen) |
![]() |
Eventueel ontkleden van de punctieplaats, zoals
schouder, heup, ... |
![]() |
Ruim ontsmetten van depunctieplaats om alle
besmettingsrisicos uit te sluiten |
![]() |
Voor het inspuiten van het contrast wordt er best een
foto genomen van het te onderzoeken gewricht. |
![]() |
De patiënt van de onderzoekstafel helpen (oppassen
voor syncope) |
![]() |
De patiënt zonodig helpen aankleden, het onderzocht
gewricht moet zo weinig mogelijk worden belast, denk eraan dat het
onderzoek nu nog niet is afgelopen |
![]() |
De patiënt zo snel mogelijk naar de CT-scan brengen
|